Health

l4-l5 l5-s1 disc bulge treatment in hindi?, l4 l5 and l5 s1 disc bulge exercises in hindi?

अब L4-L5 और L5-S1 डिस्क बल्ज (disc bulge ) से जुड़े दर्द का सटीक इलाज हिंदी (in hindi) में! जानें विशेषज्ञ सलाह, आयुर्वेदिक चिकित्सा, और योग आसनों से होने वाले सुधार के बारे में। लाइफस्टाइल में सुधार करें और दर्द से छुटकारा पाएं। #discbulge #बैकपेन (back pain) #हिंदीयोगा। (l4-l5 l5-s1 disc bulge treatment exercises in hindi?)

l4-l5 l5-s1 disc bulge treatment in hindi?, l4 l5 and l5 s1 disc bulge exercises in hindi?

disc bulge treatment in hindi: L4-L5 और L5-S1 disc bulge in hindi का इलाज

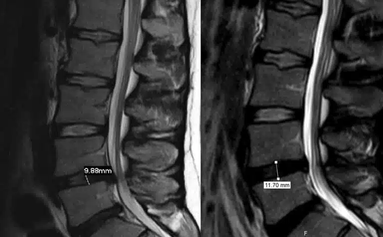
कमर की दर्द और स्पाइनल संबंधित समस्याएं आजकल बहुत से लोगों को ग्रसित कर रही हैं, और इसमें L4-L5 और L5-S1 disc bulge एक सामान्य समस्या है। इस लेख में, हम इस समस्या के संबंधित उपचार की बात करेंगे, और कैसे इस स्थिति को सुधारने के लिए विभिन्न उपायों का उल्लेख करेंगे।

1. विशेषज्ञ सलाह: l4-l5 l5-s1 disc bulge treatment in hindi? के मामले में, सबसे पहला कदम एक विशेषज्ञ डॉक्टर से सलाह लेना है। एक न्यूरोलॉजिस्ट या ऑर्थोपेडिक सर्जन इस समस्या का सटीक निदान लगा सकता है और उचित उपचार की मार्गदर्शन कर सकता है।

2. दवाएँ और आयुर्वेदिक उपचार: डॉक्टर के परामर्श के बाद, दवाओं का सही तरीके से उपयोग करना अच्छा हो सकता है। कई बार इसमें दर्द निवारक और शांति के लिए दवाएँ शामिल होती हैं। आयुर्वेदिक तरीके से भी इस समस्या का समाधान किया जा सकता है।

3. व्यायाम और थेरेपी: व्यायाम और थेरेपी के माध्यम से स्थिति में सुधार हो सकता है। स्वस्थ रीएबिलिटेशन के लिए फिजियोथेरेपिस्ट के साथ काम करना फायदेमंद हो सकता है।

l4-l5 l5-s1 disc bulge treatment in hindi?, l4 l5 and l5 s1 disc bulge exercises in hindi?

4. सर्जरी: अगर स्थिति गंभीर है और अन्य उपायों से लाभ नहीं हो रहा है, तो सर्जरी एक विकल्प हो सकता है। सर्जरी से डिस्क को हटाकर स्थानीय दर्द को कम किया जा सकता है।

5. आहार और लाइफस्टाइल: स्वस्थ आहार और योग्य लाइफस्टाइल बनाए रखना भी इस समस्या के उपचार में मदद कर सकता है। सही तरीके से बैठना, खड़ा होना, और उचित तरीके से सोना इसमें मदद कर सकता है।

इस रूपरेखा में, हमने L4-L5 और L5-S1 disc bulge treatment in hindi? के इलाज के कुछ सामान्य उपायों का उल्लेख किया है।

l4 l5 and l5 s1 disc bulge exercises in hindi?

लंबे समय तक बैठे रहने और अव्यवस्थित जीवनशैली के कारण, L4-L5 और L5-S1 से पीड़ित लोगों के लिए कुछ योगासन और व्यायाम बहुत महत्वपूर्ण हो सकते हैं। इस लेख में, हम इस L4-L5 और L5-S1 disc bulge exercises in hindi? के इलाज के लिए कुछ सुझाव देंगे, जो आपकी सेहत को सुधार सकते हैं और L4-L5 और L5-S1 disc bulge exercises in hindi? से जुड़े दर्द को कम कर सकते हैं।

1. पसर्गासन (Paschimottanasana): इस आसन को करने से कमर की मांसपेशियों में खिचाव कम होता है और डिस्क को सहारा मिलता है। बारीकी से पैरों को आगे की ओर झुकाएं और शीर्षक की ओर जाएं।

l4-l5 l5-s1 disc bulge treatment in hindi?, l4 l5 and l5 s1 disc bulge exercises in hindi?

2. भुजंगासन (Bhujangasana): यह आसन कमर की मांसपेशियों को मजबूत करने में मदद करता है और स्पाइनल कॉर्ड को स्थिर बनाए रखता है। पेट को धरा पर रखकर उच्च करें और सीधे होकर सांस लें।

3. उत्तानपादासन (Uttanpadasana): इस आसन से कमर की मांसपेशियों को मजबूती मिलती है और L4-L5 और L5-S1 डिस्क को सहारा मिलता है। पैरों को सीधा रखकर उच्च करें और सीधा होकर सांस लें।

4. मर्जरी आसन (Marjarasana): यह आसन कमर की पीठ को मलताबन बनाए रखने में मदद करता है और L4-L5 और L5-S1 डिस्क स्थिति को सुधार सकता है। चारों पैरों को पीठ की ओर उच्च करें और धीरे-धीरे श्वास लें।

5. ताड़ासन (Tadasana): यह आसन कमर की मांसपेशियों को सहारा प्रदान करता है और स्थिति में सुधार कर सकता है। खड़े होकर सीधे बाएं हाथ को उच्च करें और सांस छोड़ें।

6. जलनेति: योग के अलावा, नैया क्रियाएँ भी डिस्क बल्ज से जुड़े दर्द को कम करने में मदद कर सकती हैं। जलनेति एक पुरानी और प्रभावी तकनीक है जिसमें नासिका से पानी पार किया जाता है, जिससे नाक, सिनस, और कमर में खिचाव कम होता है।

इन आसनों और व्यायामों को नियमित रूप से करके आप L4-L5 और L5-S1 disc bulge exercises in hindi? से जुड़े दर्द को कम कर सकते हैं और कमर की स्थिति में सुधार प्राप्त कर सकते हैं। हमेशा याद रखें कि डॉक्टर से परामर्श करना अगर सबसे महत्वपूर्ण है, और आसनों को सही तरीके से करने के लिए एक योग गुरु की मार्गदर्शन करना भी अच्छा होता है।

Leave a Reply

Your email address will not be published. Required fields are marked *